Invisalign® Clear Aligners – Schoharie, NY
Align Teeth Without Any Metal
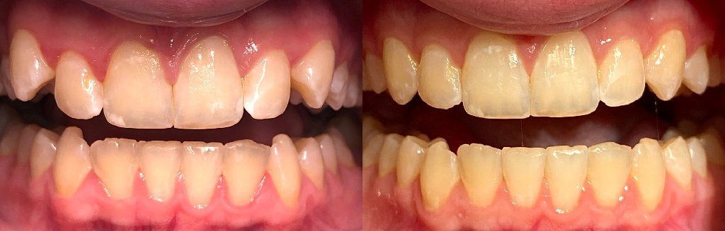
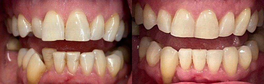
Invisalign in Schoharie offers a discreet, comfortable, and effective way to correct crooked teeth and bite problems without having to rely on the noticeable brackets and wires of metal braces. These clear aligners allow patients to smile with confidence and eat whatever they like throughout treatment, making Invisalign compatible with any lifestyle. To learn how you may be able to benefit from Invisalign, schedule a consultation with our team at Schoharie Dental. We offer clear braces to those in Cobleskill, Amsterdam, Schenectady, Oneonta, Schoharie, NY, and the surrounding areas.
Why Choose Schoharie Dental for Invisalign Clear Aligners?
Dr. Elbialy Is a Platinum Invisalign Provider
Best Price and Financing Options
Preview Final Results Before Committing to Treatment

All-Inclusive Invisalign
If you are considering Invisalign with another provider, you should ask about these potential additional costs. We offer the best all-inclusive deal, as it includes all of the following:
- Initial Consult
- X-Rays
- Photos
- All Visits
- Scanning/Impressions
- All Invisalign® Treatments
- Any Necessary Corrections
- Free Set of Retainers
Treatment isn’t over until you are happy with your smile.
Who Can Invisalign Help?
There was once a time when Invisalign could only address mild cases of orthodontics. Now, it can help with everything from overcrowding to open bites! To learn more about the importance of correcting common orthodontic problems like these, keep reading.
Crowded Teeth

If your teeth crowd together or are tilted out of alignment, then you should schedule a consultation with us to discuss Invisalign. After all, overcrowding can negatively impact various aspects of your smile, including the health of your teeth and gums. The good news is that clear aligner treatment can guide your teeth into their properly aligned positions to help prevent tooth decay, gum disease, and the like from developing.
Gaps Between Teeth

You might be surprised to hear that gapped teeth also have the potential to negatively impact your oral health. That combined with the aesthetic drawbacks, and it’s not surprising that so many patients with this orthodontic problem are interested in exploring their treatment options. If you’re a candidate for Invisalign, then we can gradually close the spaces with clear, custom-made aligners, ensuring no unwanted attention is drawn to your smile in the process.
Overbite

Overbites are quite common. If your upper teeth jut out beyond your lower teeth considerably, then you may have one too. Depending on the severity of your case, this orthodontic problem can lead to everything from trouble enunciating clearly to chronic jaw pain. That’s why we don’t recommend putting off scheduling an appointment! If we determine that Invisalign is an option, then we can move your teeth and bite into proper alignment discreetly.
Underbite

An underbite is when the lower teeth sit in front of the upper teeth. When this happens, considerable pressure is placed on the jaw, increasing the risk of TMJ dysfunction. It’s also important that we mention this orthodontic problem can lead to premature wear and tear on certain teeth as well as persistent jaw pain, which we want to prevent as well. Simply put, if you think you have this bite issue, schedule a consultation with us to explore your treatment options.
Crossbite

If your upper teeth don’t sit completely in front of your lower ones and vice versa, then you likely have a crossbite. As with the other bite problems on this list, TMJ dysfunction, chronic jaw pain, and premature wear and tear on your teeth are all concerns. Fortunately, clear aligners can often address this common bite problem with the help of other orthodontic accessories, like rubber bands and buttons.
Open Bite

When you close your mouth, your teeth should come together evenly. If they don’t because there is space in the front or back, then you may have an open bite. The best thing to do is come in for a consultation so we can determine the root of the problem and, perhaps more importantly, the best way to address it before it leads to any problems, like chronic jaw pain.


Benefits of Invisalign
Perfectly aligned teeth offer a host of benefits, but why do millions of patients choose Invisalign over metal braces? In short, it’s because Invisalign offers a host of comforts and conveniences that aren’t possible with traditional orthodontics, and you can learn more about these by clicking the button below.
Improved Comfort

You don’t need a dental degree to know that smooth plastic custom-designed for your mouth will feel better against your lips and gums compared to metal wires and brackets. After a couple of weeks, most patients report that they forget they are wearing their trays throughout the day! Plus, they rarely experience the oral sore spots that pop up with metal braces.
Discreet Trays

One of the great ironies of regular braces is that they instantly call attention to teeth that someone is already self-conscious about. With Invisalign, the appliance practically disappears when you put it on, meaning a person can maintain their day-to-day appearance and not stress about how they look. This is great whether it’s your teen going to school or you have a lot of face-to-face meetings at work.
Better Dental Hygiene

Brushing is a bit tricky with metal braces, and flossing is all but impossible without special tools. Invisalign makes oral hygiene a breeze—you just take your trays off and clean your teeth like normal…that’s it! This helps patients avoid the usual uptick in cavity risk and stains often associated with braces.
Quick Follow-Ups

You’ll be asked to attend progress appointments at Schoharie Dental so your orthodontist can ensure your teeth are shifting as intended. These are fast and usually pretty hands-off. The same kind of appointments are necessary with braces, but they usually involve tightening the archwire and replacing elastics, which can add time and leave your mouth feeling a little sore afterward.
Boosted Confidence

Knowing that your smile is beautifully straight makes every interaction and conversation easier because you’ll feel more comfortable about your appearance. When you feel great, others notice, and this can have countless positive effects on both your professional and personal life.
Non-Invasive Treatment

Overall, Invisalign requires a patient to make fewer changes to their regular routine compared to braces. There are almost no diet restrictions, your appearance doesn’t change, and your nightly routine basically stays the same as well. This leads to better compliance with the treatment, meaning your success is all but guaranteed.
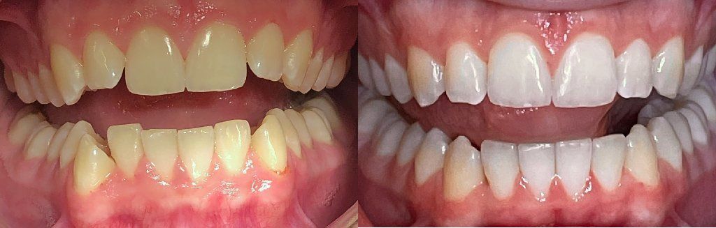
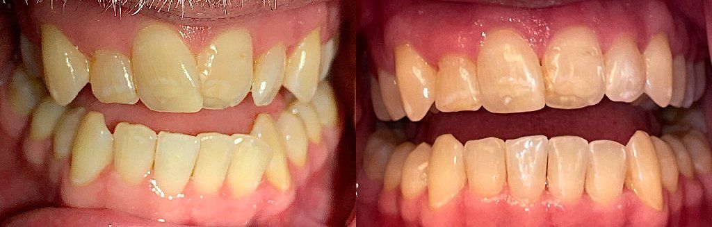
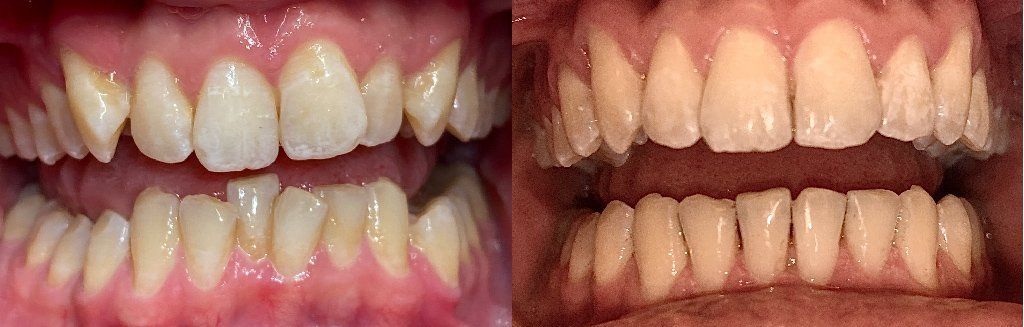
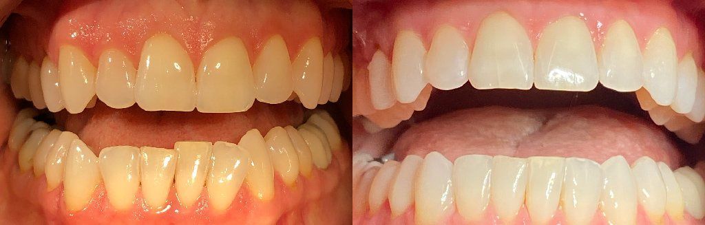
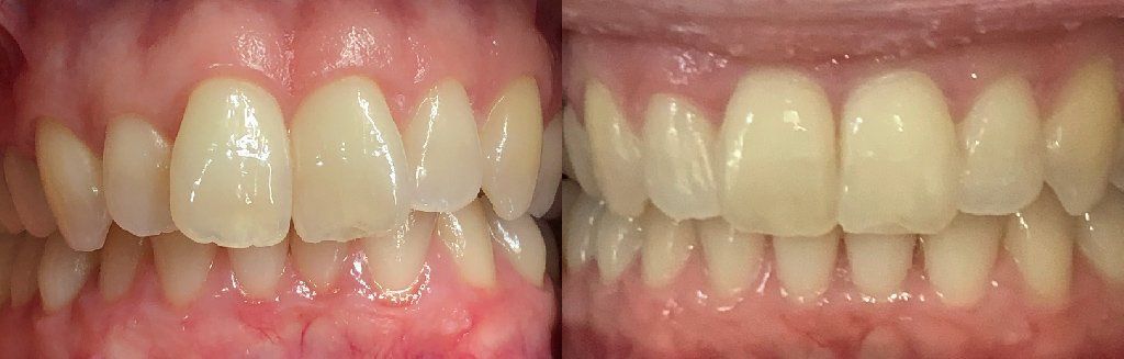
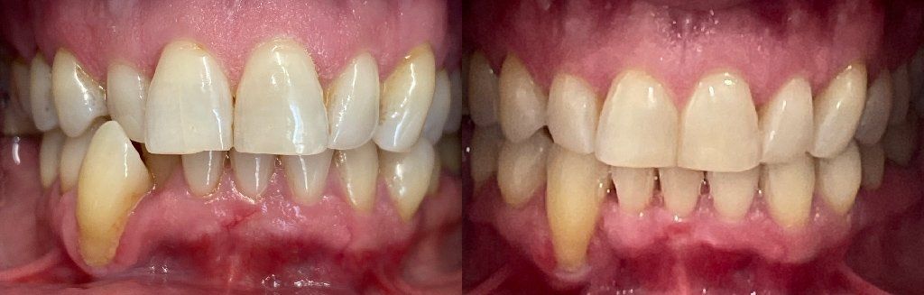
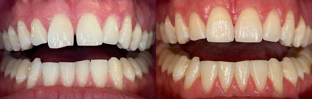
The Invisalign Process
The first step in the Invisalign process is to schedule a consultation with Dr. Elbialy. During this visit, he’ll capture a digital scane of your teeth and photos of your smile. He'll show you a simulation of what your teeth will look like after treatment and develop a customized Invisalign treatment plan to address your unique orthodontic issues. After moving forward with the process, you’ll receive your Invisalign trays with a schedule when to change into the next tray. As you progress through the treatment, you’ll notice your teeth gradually beginning to shift into their ideal position. Once you reach your final sets of trays and you are happy with the results, Dr. Elbialy will provide you with a retainer and capture photos so you can see the before-and-after results!

Living with Invisalign
Seeing a straight smile in the mirror at the end of an Invisalign treatment sounds great, but what will the journey look like? Fortunately, the day-to-day routine is fairly straightforward and only requires a few key steps to make sure your experience is as smooth and efficient as possible.
Wearing Your Trays

After you receive your Invisalign trays, it’s essential that you wear each set for at least 20-22 hours a day, only taking them off for meals and oral hygiene (more on this below). You’ll then progress to the next set in the series after about a week or so. This is important because if you don’t use your trays long enough, it could extend your treatment timeline.
Cleaning Your Aligners

Just like your teeth, your aligners should be cleaned every single day. Each time you take them out, they should be rinsed with cool or lukewarm water (warm or hot could warp the plastic). To prevent food particles and bacteria from becoming trapped, it’s wise to brush and floss your teeth as well, though swishing with water is also a decent substitute if you’re short on time.
It’s crucial to brush them using a soft-bristled brush and colorless hand soap at least twice a day, as hard bristles or pigments could scratch or stain the trays. At least one day a week, soaking them in Invisalign cleaning crystals can help remove stuck-on food that won’t come off otherwise.
Eating & Drinking

This one’s pretty simple—if you are eating or drinking anything other than regular water, your trays should come out! Eating breakfast? Trays out! Lunchtime? Trays out! Afternoon snack? Trays out! What’s for dinner? Trays out!
While the plastic is fairly strong, it can’t stand up to chewing, so attempting to eat with them could seriously damage your trays.
Losing or Damaging a Tray

Firstly, a lost or broken tray isn’t the end of the world, so don’t panic! Just let our team know ASAP so we can figure out what to do next. Your orthodontist may ask you to wear your previous set of trays or jump ahead to the next one. If a replacement has to be ordered, don’t worry—it’s covered in the cost of your overall treatment.
Most of the time, trays are misplaced because someone forgets where they put them while eating, which is why we recommend that they should only be either in your mouth or their designated case.
Routine Check-Ins

And finally, you’ll be asked to attend routine progress check appointments with Dr. Sorbero to ensure your teeth are moving as planned. This way, if any adjustments need to be made, they can be done quickly. These are usually scheduled every eight weeks or so and only take about 15 minutes in the chair. At most, Dr. Sorbero might offer recommendations on how to keep your trays cleaner or may even order more trays depending on how your teeth are responding to treatment.
First 3-6 Months After Invisalign Treatment
For the first 3 months after orthodontic treatment with Invisalign is completed, wear your retainers day and night. Only remove them to eat and brush your teeth. After three months, wear your retainer only at night. You will need to continue daily night time wear for as long as you want your smile to remain the same. Not wearing the trays every night forever will lead to your teeth shifting and your retainers no longer being effective.
Every 6 Months After Invisalign Treatment
Every six months, you should try on a new duplicate retainer. If the new retainers feel significantly tighter, your current set of retainers has stretched. It is time to switch to a new set before your teeth irreversibly shift.
If you only have one set of retainers, there is no way to determine if your teeth have shifted until you notice that shift. At which point, it is too late, and your smile has changed. Getting a new scan/impression for new retainers will stop further shifting but will not shift teeth back to where you were happiest with your smile.
This is why we recommend choosing Vivera, which is four sets of retainers, with your scan, saved on file for future sets (not included).
When You Need More Retainers After Invisalign
Please call us for more retainers when you are ready to upgrade from your single set retainer to a more secure way of protecting your smile that you have worked so hard to get. We will scan you for Vivera.
You can also let us know when you start using your last set of Vivera. You don’t ever want to be without a backup on hand. If you have had no major dental work and have been correctly following the instructions above, you will likely not need a new scan/impression.
Cleaning Invisalign Retainers
Please feel free to bring your retainers in for cleaning every time you come to our office for a professional dental cleaning.
Understanding the Cost of Invisalign
Would you like to straighten your smile, but are concerned about the impact undergoing treatment could have on your monthly budget or savings? Our team at Schoharie Dental is flexible and capable, especially when it comes to finding you a payment plan that fits your budget. We also accept additional financing, state insurance like Medicaid and ManageCare, and most PPO dental insurance plans. If you have any concerns about the cost of Invisalign in Schoharie, call us today!
Factors That Affect the Cost of Invisalign

There are several factors that can play into the cost of your treatment that our team will discuss with you during your consultation, including:
- How many aligners you need will largely depend on the complexity of your orthodontic issues. For example, addressing bite problems will likely require more trays than fixing minor crowding.
- In some cases, only one arch of teeth will need to be straightened, minimizing how many aligners you’ll need to wear throughout your journey.
- Losing or damaging one or more aligners can not only set back your treatment timeline, but also lead to a higher cost.
- Additional necessary accessories, like elastics and chewies, may be required.
Invisalign vs. Mail-In Aligners: Which is the Better Value?

Although mail-in aligners like Smile Direct Club™ have a lower up-front cost, these aren’t always the best or safest option for your smile. This is due to a few key factors, including:
- Lower quality materials are used, making the trays less comfortable and more likely to become easily damaged.
- The DIY-approach to this treatment means less professional oversight, leading to more complications and risks.
- Although they promise shorter treatment times, a fast approach to shifting teeth could lead to oral health problems.
Invisalign is overseen by trained professional, Dr. Elbialy, who is a Platinum Invisalign Provider. This means that he completes 60 or more cases every six months, so you’ll have the peace of mind that your dentist is a reliable expert.
Does Dental Insurance Cover Invisalign?

While many insurance plans don’t cover the cost of orthodontic treatment unless it’s opted into, yours may cover a portion or all of the cost. Let our team help you decipher your coverage by contacting us today! We’re proud to accept most PPO dental insurance plans as well as file claims on your behalf.
Other Easy Funding Options

Financial considerations should never be an obstacle to obtaining a happier and healthier smile. We have different options available to fit everyone’s individual needs. If you’re a self-pay patient we offer flexible, easy payment plans, like our all-inclusive Invisalign treatment package for $3,199 out the door. We also offer low monthly payment plans starting at $70/month with $0 down. If you have any financial concerns about moving forward with treatment, we’re happy to do our best to accommodate your budget!


Invisalign FAQs
If you’d like to learn more about Invisalign in Schoharie, don’t go anywhere – you’re in the right place! Below, we’ve responded to FAQs about clear aligner treatment so you can continue your research online. As always, if you have a specific question on your mind, you’re welcome to reach out to our team too.
What Does Invisalign Look Like?
Since each aligner is custom-made just for you, they look like a see-through, plastic mold of your teeth! Of course, it does take some commitment to keep them clear, which is why we recommend cleaning them each morning and evening and removing them before eating or drinking anything other than water. You can also use the cleaning crystals that came in your welcome kit to provide them with a deeper clean.
How Long Does Invisalign Take?
Although there isn’t a one-size-fits-all answer, there is an average treatment timeline: 12-18 months. The length of yours will depend on several important factors, including how many aligners you need and how long you’ll wear each one. Naturally, your dedication to the treatment guidelines also plays a role. For example, if you consistently don’t wear your aligners for 20-22 hours a day, then there’s a good chance that you’ll fall off-track with your treatment plan.
Is Invisalign Cheaper than Braces?
Since traditional braces and Invisalign are two popular orthodontic treatments, many patients think that they can compare the prices of each side by side. However, the cost really comes down to the complexity of your care. We also mentioned in the previous section that there are price-related factors that will come up after you start your teeth-straightening journey, including how well you follow the guidelines given to you by your dental team. In short, there are some cases where Invisalign is more expensive, and there are other cases where it isn’t – it really depends on each individual patient!
What Are Invisalign Attachments?
To answer this question, we need to go back to the beginning of Invisalign. When it first debuted, the clear aligners were only suitable for patients with more mild cases of malocclusion. As this innovative orthodontic treatment advanced, however, it added attachments to the treatment plans. These small pieces of tooth-colored resin give the trays some extra grip, allowing them to correct more moderately misaligned teeth. Plus, they are hard to detect, which means that the discreetness of your treatment won’t be compromised in any way.
Can You Drink Coffee with Invisalign?
You can! There is just one rule: you have to remove your aligners first. This is important because hot coffee can cause your trays to warp, rendering them virtually useless. You might be thinking “I’ll drink it iced then!” However, that poses another problem: stains. That’s why indulging in this caffeinated beverage alongside your breakfast or lunch is the best thing to do.
Is Invisalign Better Than Braces?
Both Invisalign and traditional braces are very effective at fixing a wide array of orthodontic issues, including crowded teeth, gapped teeth, crooked teeth, and various misaligned bites (overbite, underbite, etc.). Even though they are very similar clinically, the day-to-day experience is quite different. While Invisalign is more discreet, flexible, and comfortable, braces are lower maintenance and are sometimes better suited for younger patients. In the end, it really depends on the patient and their goals, which is why we’re happy to offer both services at Schoharie Dental.
Is Invisalign painful?
No! Typically, a patient will experience a little oral soreness and tenderness after receiving their first set of trays and right after switching to new aligners. Not to worry—this just means they’re working! These minor symptoms stem from the treatment applying slight pressure to the teeth in order to shift them. Thankfully, any discomfort tends to be minor and goes away on its own after a day or so. In the meantime, OTC medication can be a big help.
Can My Child Get Invisalign?
We usually do not recommend Invisalign for young children because the treatment requires a bit of discipline when it comes to wearing the trays for the recommended amount of time and cleaning them regularly. As you can imagine, giving a school-aged child an appliance they can take out at any time is a recipe for a lost tray! However, Invisalign can be a good fit for some teens, as they are very enthusiastic about the subtle appearance. We’ll talk about the ongoing care it requires with your teen at your consultation, and then you can use your parental instincts to know if it would be the right choice.
Do You Sleep While Wearing Invisalign?
Yes, a patient should ideally only take out their Invisalign trays to eat or clean their teeth. That means you are expected to sleep with your trays in. This gives Invisalign as much time as possible to work. Plus, we usually have patients switch to their new trays right before going to bed so most of the adjustment period takes place during the night.
